Üns ber! Saýtyň esasy maksady Siziň saglyk babatdaky gözýetimiňizi giňeltmekdir. Şonuň üçin-de, saýtda berilýän maglumatlar esasynda öz-özüňi bejermek maslahat berilmeýär. Öz-özüňi bejermeklik düýpli kynçylyklara uçradyp, janyňyza howp salyp biler. Saýtdaky makalalar, materiallar we beýleki maglumatlar bilim maksatly bolup, lukmanyň bejergisiniň ýa-da maslahatynyň ýerini tutup bilmeýär.
DIŞ ÇÜÝREMESI (KARIÝES)

Soňky döwürde diş çüýremesi barada beýleki kesellerden hem köp gürrüň edilse-de, ol barada anyk maglumatlary bilýänler azdyr. Eýsem diş çüýremesi nähili döreýär we dişler näme üçin agyrýar?
«Kariýes» (diş çüýremesi) sözi hem beýleki lukmançylyk adalgalary ýaly latyn dilinden gelip, «weýran bolmak» diýmegi aňladýar. Dişiň gaty dokumasynyň weýran bolup, deşigiň emele gelmegini diş lukmanlary «kariýes ýa-da dişiň çüýremesi» diýip atlandyrýarlar. Diş göräýmege gaty we berk bolýar. Onda dişde deşikler nähili döreýärkä? Gynansak-da, dişiň öz gizlin duşmanlary: turşulyk we bakteriýalar bolýar.
Biziň dişlerimiz dentinden düzülendir. Ol öz düzümi boýunça adaty süňke meňzeş bolýar. Dentin diş sarymtyl-ak reňkli syrça bilen örtülendir. Dentinde öýjükler, esasan-da nerw süýmleri ýokdur. Şonuň üçin-de, dişleri arassalamak ýa-da çeýnemek agyrysyz bolýar. Mineral duzlary, esasan hem kalsiy duzlary: fosfat bilen karbonatlar dişiň gatylygyny we berkligini üpjün edýär. Bu duzlar dentine siňýärler. Olar esasan hem diş syrçasynyň düzüminde köp bolýarlar. Organiki däl maddalaryň emele getirýän bu berk gatlagy dişiň çoýun ýaly berk bolmagyny üpjün edýär. Dişler agyzda däl-de, bedeniň haýsydyr başga bir ýerinde (mysal üçin, deride) össedi, onda olar hiç haçan çüýremezdi. Eger iýmit çeýnelende agyz boşlugynda biohimiki täsirler bolmasady, onda adamlaryň dişi hiç haçan çüýremezdi.
Alymlar ençeme wagtlap diş çüýremesiniň sebäpleri barada oýlandylar. Bu keseliň «sebäpkäri» barada ilkinji gezek b.e. I asyrynda Awisenna we rim lukmany Larg Skriboniý tarapyndan çaklama aýdylypdy. Olar dişde gurçuk ýaşap, dişi weýran edýär diýip çaklapdyrlar. Emma alymlar bu çaklamany subut edip bilmediler. Agyryly dişleriň ençemesini owradyp we öwrenip, olar hiç gurçugy tapmadylar.
Dişiň çüýremesiniň has ynandyryjy teoriýalary XX asyrda mikrobiologiýanyň we biohimiýanyň ösmegi bilen döredi. Turşulyklaryň dişiň mineral duzlary bilen täsir edişip, dişi ýumşadýandygy subut edildi. Soň edilen açyşlarda bu himiki täsirliklerde mikroorganizmleriň uly rol oýnaýandygy anyklanyldy. Bu şeýle bolup geçýär.
Adam nahar iýenden soň iýmitiň owuntyklary dişe ýelmeşýär. Köplenç bu çöregiň we süýji-kökeleriň owuntyklarydyr. Bu emele gelen örtügi wagtynda aýyrmasaň, bu owuntyklara uglewodlar bilen iýmitlenýän Streptococcus mutansatlymaýdaja bakteriýalar ýelmeşip başlaýarlar. Öňki döwürlerde bu bakteriýalar zyýansyz we olaryň islendik sagdyn adamlaryň tüýküliginde bolmagy adaty hasaplanylýardy. Emma bu bakteriýalaryň madda çalşygynya käbir aýratynlyklary bardyr. Olar glyukozany özüne siňdirip, munuň deregine süýt turşulygyny bölüp çykarýarlar. Eger adam süýji-kökäni köp iýip, dişlerini wagtly-wagtynda arassalamasa, onuň tüýküliginde bu bakteriaýlaryň sany artýar. Netijede Streptococcus mutansbakteriýalarynyň işiniň dowamynda tüýküligiň turşulygy artyp, organiki turşulyklar diş syrçasynyň mineral duzlary bilen özara täsire girişýärler. Netijede diş syrçasy minerallary ýitirip, ýumşaýar.
Streptococcus mutans bakteriýalary iýmit owuntyklarynyň bolan ýerine ýygnanyp, köp turşulygy bölüp çykaranda, ýagdaý has hem erbetleşýär. Bu turşulyk diýseň güýçli bolup, diş syrçasyndaky mineral duzlary bütinleý gysyp çykarýar-da, diş syrçasynyň ýumşap, bakteriýalaryň dentine aralaşmagyna mümkinçilik döreýär. Dentine aralaşan bakteriaýlar ol ýerde glyukozanyň ýokdugy sebäpli dentiniň kollagenleri bilen iýmitlenip, turşulygy bölüp çykarýarlar. Şeýle täsirleriň netijesinde dişiň dokumalary kem-kemden ölüp, deşik emele gelýär. Bu deşik bakteriýalardan we öli diş dokumasyndan doly bolýar. Eger diş çüýremesi wagtynda bejerilmese, dişiň bütinleý ýitirilmegi mümkindir.
Diş lukmanlary diş çüýremesiniň birnäçe derejesini belläp geçýärler.
Birinji derejesi — ilkibaşda dişde ak ýa-da garamtyl tegmil emele gelýär. Diş entek agyrmaýar, ýöne diş syrçasyndaky mineral duzlar ýitirilip başlanýar. Keseliň şu tapgyrynda ony diňe hünärmenler saýgaryp bilýärler. Şonuň üçin-de wagtal-wagtal diş lukmanynyň maslahatyny alyp durmak maslahat berilýär.
Ikinji derejesi — ýüzleýin diş çüýremesi. Dişiň syrçasyna eýýäm zeper ýetirilen we mikroblar dişiň esasy bölegine — dentine aralaşmaga taýynlanýarlar. Dişinde çüýrük emele gelen adam gyzgyn ýa-da sowuk zatlary iýende dişinde ýakymsyzlygy duýýar. Adamlar şular ýaly «ýüzleý» ýagdaýlarda diş lukmanyna ýüz tutmaýarlar. Şonda diş çüýreme indiki derejä — orta haldaky we çuň diş çüýremesine geçýär.
Üçünji derejede Streptococcus mutans dişiň dentinini weýran edýär-de, dişde çüýrük deşik döreýär. Bu çüýrük wagtyň geçmegi bilen barha çuňlaşýar. Adam çeýnände onuň dişi agyrýar, agzynda ýakymsyz ys peýda bolýar. Eger-de şu tapgyrda diş bejerilmese, çuň çüýreme derejesinden soň iň soňky dereje — pulpit peýda bolýar. Bu diş çüýremäniň diş nerwine ýetendigini mälim edýär. Pulpitli adamyň ýagdaýyna gynanaýmak galýar. Ol ýygy-ýygydan analgin ýa-da aspirin içip, ýiti agyry zerarly gijelerine uklap bilmeýär. Ol ahyrda ýüregine daş baglap, diş lukmanyna gidýär, ýöne dişden eýýäm hiç zat galmady diýen ýalydyr.

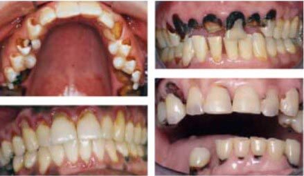
Kariýesiň görnüşleri
Diş çüýremesiniň öňüni alyş çäreleri
Diş çüýremesini bejereniňden, öňüni alanyň aňsatdyr.
Birinji maslahat — diş lukmanynyň maslahatyny almak. Her alty aýdan diş lukmanyna baryp, dişleri barladyp durmaly. Biz diş agyra uçramyzda, ahyrsoňy diş lukmanyna barmaly bolýarys. Şonuň üçin-de, wagty gijikdirmän, her alty aýdan dişleriňiziň ýagdaýyny barladyp duruň.
Ikinji maslahat — berhiz saklamaklyk. Diş çüýremesini döredýän bakteriýalar süýjüligi halaýarlar. Bu bakteriýalar süýji-kökäni, şekeri diýseň gowy görýärler. Emma ir-iýmişlerden, ýagsyz etden, gök önümlerden we süýtden soň dişde galyndy örtük galmaýar. Şonuň üçin-de, mikroblar «aç galmaly» bolýarlar.
Üçünji maslahat — ftor-kalsiý usulyny ulanmak. Diş lukmanlary ftoruň dişi daşyndan, kalsiniň bolsa ony içinden goraýandygyny subut etdiler. Ftor bilen kalsiý adamyň organizmine iýmit we suw arkaly ýetirilýär, ýöne köp ýagdaýlarda bu ýeterlik bolmaýar. Şonuň üçin-de kalsiý gerdejiklerini we ftor-kalsili diş pastasyny ulanmaly.
Dördünji maslahat— nahardan soň düzüminde gant bolmadyk sakgyjy çeýnemek. Ol dişleriň arasynda galan iýmit galyndylaryny ýygnap, käwagt tüýküligiň turşulyk derejesini kadalaşdyryp hem bilýär. Diş çüýremesini döredýän bakteriýalar tüýküligiň turşulygyny artdyrýarlar, ýörite himiki düzümi bolan sakgyç bolsa tüýküligiň turşulyk derejesini kadalaşdyrýar.
Bäşinji maslahat — dişleri irden we agşam arassalamak. Her gezek nahardan soň dişleriň arassalanmagy has hem gowudyr. Diş çotgasy naharyň galyndylaryny aýryp, dişiň etlerini owkalaýar we dişiň syrçasyny berkedýär.
- 15775 gezek okalan