4-nji FEWRAL – HOWPLY TÄZE DÖREMELERE GARŞY GÖREŞMEGIŇ BÜTINDÜNÝÄ GÜNIDIR.
Nasy ulanma Merkezi Aziýa ýurtlaryna mahsus bolup, ol atylýan, çekilmeýän temmäki önümidir. Bu önümiň adyndan belli bolşy ýaly, ony gadym wagtlar nas (nasbaý) ösümliginden taýýarlapdyrlar we şoňa görä hem at galypdyr. Nas adatça temmäkiden, külden, pagta ýa-da künji ýagyndan we sönen hekden taýýarlanylýar. Nas aşaky ýa-da ýokarky dodagyň, diliň aşagyna atylyp we dili berk saklap onuň berjek netijesine garaşylýar. Nasyň ulanylmagyny zyýansyz hasaplap, oňa çilimiň ýerini tutujysy höküminde garamak bolmaýar. Bilermenleriň belleýşine görä, sorulýan temmäki önümlerini ulanýan toparlarda agyz boşlugynyň rak keseliniň ýüze çykmak töwekgelçiligi ýokarydyr, has takygy bu keseliň ilkinji sebäpleriniň biri nasdyr.
Dowamy
Geçen asyrda stomotologiýanyň ortopediýa ugrunda dişleri üýtgedip salmakda köp üýtgeşiklikler bolup geçdi. Tehnologiýanyň ösmegi we täze materiallaryň döredilmegi bilen, dişleriň öz fiziologiki işini berjaý etmäge we tebigy görnüşlerini saklamaga mümkinçilik berýän birnäçe ylmy öňe gidişlikler amala aşyryldy. Mundan başga hem, diş protezleriniň äňiň kadaly işleýşini üpjün edip, ulanylan wagtynda oňaýsyz ýagdaýlaryň bolmazlygy üçin köp zatlar göz öňünde tutuldy we olaryň üstünde işlenilip gelinýär. Dişleriň protezirlenmegi agyz boşlugynda sagaldyş işlerini geçirmek bilen alynyp barylýar: protez ýasamak üçin ýaramlylygy bolmadyk zaýa, bozulan dişler sogrulýar, kariýes bilen şikeslenen dişler bejerilip, ýörite petikleýji serişdeler (plomba göýma) bilen petiklenýär.
Dowamy
Telewizoryň ekranyndan size gülüp bakýan, şadyýan we bagtyýar kinoýyldyzlaryň gözüňi gamaşdyryjy akja dişlerini görenimizde, bizde hem şeýle dişlere eýe bolma arzuwy döreýär. Häzir sagdyn, arassa we akja dişler ýokary medeniýetliligiň, başarjaňlygyň, sagdynlygyň hem-de üstünliklere eýe bolan adamyny sypatlandyrýan alamat höküminde kabul edilýändir. Şeýle dişlere eýe bolmak üçin adamlar köp usullary ulanýarlar. Stomatolog lukmanlary hem bu meselede belli bir netijäni gazanmak üçin, häzirki zaman täze usullaryň ençemesini hödürleýärler. Eýsem, ol usullaryň haýsysy has peýdalyka?
Dowamy
Agyzdan ýakymsyz ys gelme ýagdaýyna biz köp halatlarda üns bermeýän hem bolsak, bu çynlakaý kynçylykdyr. Düýnki şowhunly geçirilen agşamdan ýa-da täze bolmadyk iýmit netijesinde zäherlenme ýagdaýy bolsa, elbetde düşnükli zat. Şeýle halatlarda özüňi kadaly ýagdaýa getirmek ýeterlik bolýar.
Eger agyzdan gelýän ýaramaz ys adamyny hemişe biynjalyk edýän bolsa, bu başga kynçylykdyr.
Dowamy
Dünýä inen çaga ulalyp, kämilleşip başlaýar. Enäniň öňünde bolsa onuň saglygy we ösüşi bilen bagly dürli soraglar ýüze çykýar. Ýaş ene-atalar çagasynyň durmuşynda ilkinji gezek bolup geçýän zatlaryň ählisini uly waka hökmünde kabul edýärler. Olaryň biri hem ilkinji dişleriň peýda bolmagydyr.
Çaganyň geljekki dişleri ol ýaňy enesiniň göwresinde galandan soň, ilkinji üç aýlygynda kemala gelýär. Şol sebäpli bu döwürde enäniň iýmit üsti bilen kabul eden maddalary, göwrelilik döwründe geçiren keselleri we kabul eden derman serişdeleri dişleriň dogry, sagdyn ösmegine täsir edýär. Doglan çaga 6-7 aýlyk bolandan soň, onuň ilkinji dişleri çykyp ugraýar. Belli bolşy ýaly, süýt dişleri çykanda körpelerde birnäçe ýaramaz ýagdaýlar ýüze çykýar: iýmit siňdirişi bozulýar, içi geçýär, gyzgyny galyp biynjalyk bolýar. Lukmanlar şeýle bozulmalar çaganyň bedeniniň bu döwürde kesele garşy durnuklylygynyň peselmegi sebäpli döreýär diýip hasaplaýarlar. Emele gelen kynçylyklara hötde gelmek üçin, käbir ýörelgeleri bilmek peýdalydyr.
Dowamy
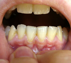
Diş eti sagdyn bolmasa dişler sagdyn bolup bilermi? Ýok! Sebäbi hut diş eti dişleriň köküniň dolagy bolup durýar, onuň nemli bardasy bolsa goraýjy faktorlary işläp çykarmak bilen, hemişe agyz boşlugyny kesel dörediji mikroblardan gorap durýar. Uzaga çekýän diş etiniň keselleri syrkawlarda agyryny döredip, agzyndan ýakymsyz ysyň gelmegine we netijede dişiniň gaçmagyna eltýär. Diş etiniň keselleriniň içinde iň köp duş gelýäni parodontoz keselidir.
Parodontoz – dişleriň iýmitlenmeginiň bozulma(distrofiki) keseli bolup, äňiň we parodontyň (diş köküni gurşap alýan dokuma) süňk dokumasyna şikes ýetirýär. Ol dokumalaryň iýmitlenmeginiň, gan bilen üpjün edilmeginiň, mineral alyş-çalşyň we ýok bolan öýjükleri ýaňadan dikeltmek ukybynyň (regenerasiýasynyň) bozulmagyna eltýär.
Dowamy
Hünärmenler agyz boşlugy barada oňat alada etmek üçin diňe diş pastasy ýeterlik däl diýip hasaplaýarlar. Goşmaça serişde hökmünde "stomatologiýa kosmetikasyny" hem ulanmak maslahat berilýär. Bu serişdelere diş eliksirleri we agyz boşlugyny çaýkamaga niýetlenen ýörite suwuklyklar degişlidir. Maglumatlary derňeýän gullugynyň bellemigine görä, uly ýaşly adamlaryň 35%-i bu serişderleri yzygiderli ulanýar.
Bu çaýkalýan serişdeler dükanlaryň we dermanhanalaryň köpüsinde satylýar. Olaryň görnüşleri şeýle bir köp welin, alyjy haýsysyny saýlajagyny bilmän, ilkibada aljyraýar. Çaýkalýan serişderleriň reňki, täsin gaplary "meni satyn al" diýýän ýaly, alyjyny özüne çekýär. Ýöne çaýkalýan serişderleriň gabyna ýa-da reňkine üns bermäň-de, olaryň düzüminiň hiline üns beriň. Haýsydyr bir çaýkalýan serişdäni satyn almazdan öň, onuň düzümindäki maddalaryň sanawyny ünsli okaň.
Dowamy
Biziň döwrümiziň teleýaýlymlary diş pastasynyň köpdürli görnüşlerini giňden mahabatlandyrýarlar. Mahabatlandyrylýan diş pastasynyň hemmesini alasyň gelýär. Eýsem diş pastasyny nähili saýlamaly?
Dermanhanalaryň we dükanlaryň tekjelerinde diş pastasynyň islendik görnüşini: derman otlary, ary mumunyň, hatda agaç kömri goşulanyny hem tapmak mümkin.
Diş pastasyny öndürijileriň biri köp sagatlyk goragy, başga biri dişleri göz ýumup-açasy salymda agartmagy, ýene biri agyz boşlugynyň ýaramaz ysyny aýyrmagy wada berýär. Eýsem hut size ýaraýan diş pastasyny nähili saýlamaly?
Dowamy
Dişler barada alada etmegi we olary arassalap durmagy ýaşlykdan başlamaly. Dogrusy, dünýä inilenden soň ilkinji günleri başlamaly. Munuň üçin bäbegi her gezek emdireniňizden soň, çygly esgini alyp (esgi hökman örän arassa bolmalydyr), bäbegiň kentlewüklerini süpürmeli. Bu çäre bäbegiň öz ilkinji günlerinden başlap, agyz boşlugynyň arassalygyny duýmagy üçin geçirilýär. Soňra bu çagany diş arassalamaga öwrenişdirmek aňsat bolar. Çaganyň ilkinji dişleriniň peýda bolandan soň, pamyk bölejigi bilen olardaky örtügi süpürip aýyrmalydyr.
Dowamy

Soňky döwürde diş çüýremesi barada beýleki kesellerden hem köp gürrüň edilse-de, ol barada anyk maglumatlary bilýänler azdyr. Eýsem diş çüýremesi nähili döreýär we dişler näme üçin agyrýar?
«Kariýes» (diş çüýremesi) sözi hem beýleki lukmançylyk adalgalary ýaly latyn dilinden gelip, «weýran bolmak» diýmegi aňladýar. Dişiň gaty dokumasynyň weýran bolup, deşigiň emele gelmegini diş lukmanlary «kariýes ýa-da dişiň çüýremesi» diýip atlandyrýarlar. Diş göräýmege gaty we berk bolýar. Onda dişde deşikler nähili döreýärkä? Gynansak-da, dişiň öz gizlin duşmanlary: turşulyk we bakteriýalar bolýar.
Biziň dişlerimiz dentinden düzülendir. Ol öz düzümi boýunça adaty süňke meňzeş bolýar. Dentin diş sarymtyl-ak reňkli syrça bilen örtülendir. Dentinde öýjükler, esasan-da nerw süýmleri ýokdur. Şonuň üçin-de, dişleri arassalamak ýa-da çeýnemek agyrysyz bolýar. Mineral duzlary, esasan hem kalsiy duzlary: fosfat bilen karbonatlar dişiň gatylygyny we berkligini üpjün edýär. Bu duzlar dentine siňýärler. Olar esasan hem diş syrçasynyň düzüminde köp bolýarlar. Organiki däl maddalaryň emele getirýän bu berk gatlagy dişiň çoýun ýaly berk bolmagyny üpjün edýär. Dişler agyzda däl-de, bedeniň haýsydyr başga bir ýerinde (mysal üçin, deride) össedi, onda olar hiç haçan çüýremezdi. Eger iýmit çeýnelende agyz boşlugynda biohimiki täsirler bolmasady, onda adamlaryň dişi hiç haçan çüýremezdi.
Dowamy